
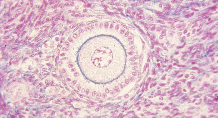
Ovarian rejuvenation and combinations of cancer medication
The combination of 4 chemotherapeutic drugs is being researched for its effect of ovary rejuvenation. It is usually administered to fight a specific type of blood cancer but it may also increase the follicle reserve and thus revitalize the ovaries. It is widely believed that once a woman’s egg reserve





